성공 데이터
가장 빛나는 미소를
만든 성공 데이터로부터
만든 성공 데이터로부터
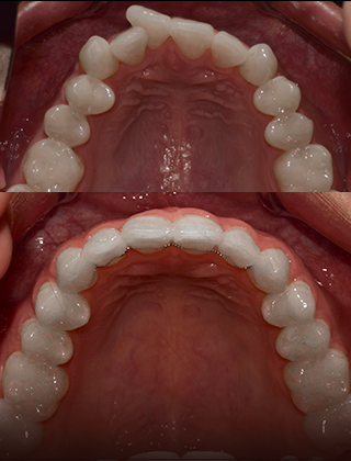
복잡한 교정 케이스, 잦은 치과 방문, 그리고 예측할 수 없는 결과까지…
치아 교정, 망설이고 계신가요?
클라라는 국내 최다 투명 교정 성공 사례를 학습한 AI 솔루션으로
모든 환자에게 완벽한 치료 계획을 제시합니다.
치료 시작부터 끝까지 필요한 모든 교정 장치를 한 번에 제작하여,
당신이 오직 행복한 일상에만 집중할 수 있도록 돕습니다.
-

당신의 미소를 위한 가장 완벽한 선택
투명 교정으로 해결하기 어렵다던 복잡한 케이스도, 잦은
치과 방문에 대한 부담도, 이제 클라라가 해결해드립니다. -

치아 교정, 이제 AI로 완성하세요
어떤 부정교합 케이스든, 처음부터 끝까지 예측 가능한
치료 계획으로 당신의 가장 빛나는 미소를 되찾아드립니다.
새로운 표준
예측 가능한 교정의 시작
치료 시작부터 끝까지, 가장 빠르고 효율적인 교정 계획이 단 몇 분 만에 완성됩니다.
치과를 자주 방문할 필요없이, 치료에만 집중하며 아름다운 미소를 만들어 보세요.
-

환자 데이터 수집
치과에서 간단한 상담과 촬영, 3D 스캔을 진행하여
환자의 데이터를 수집합니다. -

클라라의 AI 치료 계획 수립
클라라가 수많은 성공 사례 데이터를 바탕으로
당신의 치아 이동 경로를 1mm의 오차 없이 예측합니다. -

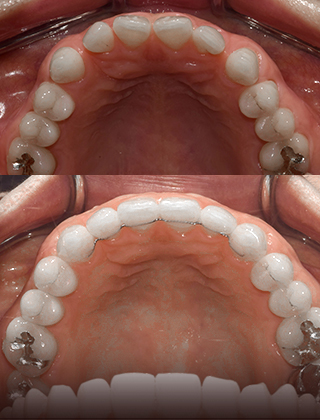
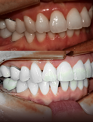
한 번에 끝내는 치료
최종 계획에 따라, 치료에 필요한 모든 교정 장치가
한 번에 제작됩니다.
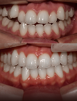
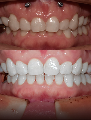
환자 중심 치료
어떤 케이스든, 당신의 미소에
완벽한 성공을 약속합니다.
완벽한 성공을 약속합니다.
복잡한 덧니부터 돌출 입, 재교정까지.
클라라는 쉬운 케이스만 해결하던 기존 투명 교정의 한계를 넘어섭니다.
교정 성공 데이터를 학습한 AI 솔루션이 어떤 케이스든
가장 안전하고 효율적인 치료 계획을 제시합니다.
-
돌출된 치아
01
돌출된 치아
-
벌어진 치아
02
벌어진 치아
-
삐뚤어진 치아
03

삐뚤어진 치아
-
다물어지지않는 치아
04

다물어지지않는 치아
-
윗니가 많이 덮은 치아
05

윗니가 많이 덮은 치아
-
아랫니가 더 많이 튀어나온 치아
06

아랫니가 더 많이 튀어나온 치아
부작용 걱정 없는 AI 치료 계획
- 수많은 성공 케이스 데이터로 예측된 가장 안전하고 정확한 치료 계획
- 성공 치료 브랜드가 증명하는 믿을 수 있는 결과
간편하고 예측 가능한 교정
- 치료 시작부터 끝까지, 필요한 모든 장치를 한 번에 제작
- 잦은 치과 방문 없이, 교정 치료에만 집중
편안하고 자유로운 일상
- 뛰어난 심미성
- 자유로운 탈착
- 용이한 위생 관리
- 최소화된 통증
투명교정AI연구소
클라라는 어떻게 성공을 설계하나요?
교정 성공 데이터를 학습한 AI 솔루션이 어떤 케이스든 가장 안전하고 효율적인 치료 계획을 제시합니다.
-
case+
투명교정 누적 환자
-
회+
의사대상 임상자문
-
건
투명교정 관련 특허














